healthcare

Limpeza Dental

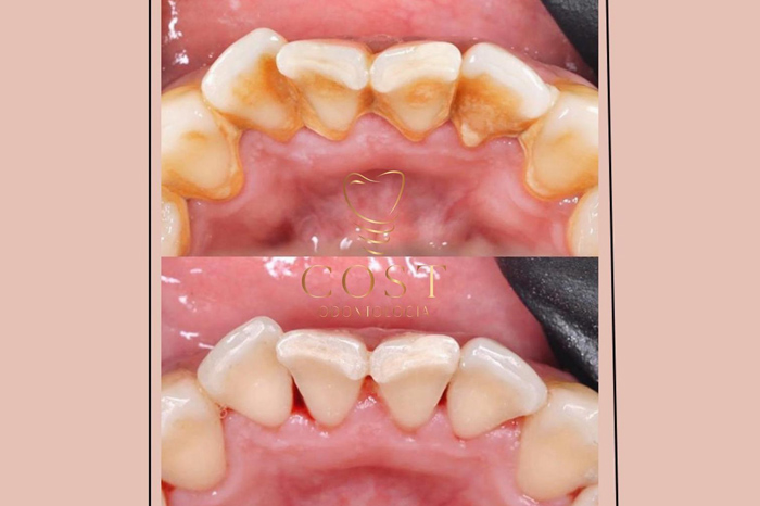
A famosa Profilaxia, nesse procedimento o intuito é remover todo tipo de acumulo, seja ela placa bacteriana ou cálculo. O Cálculo é mais duro pois contém cálcio na sua composição já a Placa Bacteriana é mais mole e pegajosa.

A limpeza é feita com ultrassom, jato de bicarbonato, uma escova giratória, e a pasta de dentes que tem características diferentes da pasta de dente que utilizamos nas nossas casas. E em outras situações são utilizadas curetas para as raspagens.

Fale conosco
Contato para Avaliação